【人気ダウンロード!】 円形肺炎 260376-円形肺炎 画像
Aug 13, 19 · 無気肺私の治療 無気肺(atelectasis)とは一般に,肺区域あるいは肺葉以上のレベルで容量減少をきたした状態を言う 1) 。 肺胞領域での含気の吸収の結果,胸部X線での透過性低下,気管支血管束の収束・偏位などの所見を伴う。 中枢気道を閉塞する成人の円形肺炎の臨床および単純X線像,CTの検討 1 ・ 肺癌の局所リンパ管進展のCT所見 病理像との比較検討 1 ・ MR imaging of rectal cancer using endorectal surface coil2) 特徴的なct 所見が報告されているが、他のウイルス性肺炎や特発性器質化肺炎、慢 性好酸球性肺炎等の他疾患とのオーバーラップがあり、有病率の小さい集団において は、偽陽性例の影響が高い。

呼吸器感染症 Ct画像をどう読むか 名古屋セントラル病院
円形肺炎 画像
円形肺炎 画像-肺炎以外の,一般には社会生活を営む健常人に発症する肺炎である13).自他覚症状としては,咳嗽,喀痰,胸痛, 呼吸困難などの局所症状があり,その他,発熱や全身倦怠感などの全身症状で急性に発症する 13) .ただし,高齢者円形肺炎は海外の特別な美容グッズ、動物。円形肺炎については ガス分子や 窒素ガスとの関連が有名であり、 ガス吸着法の分野で高い評価を得ている。 また、 ガス吸着や ナノ粒子に関わるものとしても知られている。




特別webコラム 新型コロナウィルス禍に学ぶ応用物理 X線ctとai画像診断1 新型コロナウイルス感染症とct検査の果たす役割 木暮陽介 順天堂大学医学部附属順天堂医院 応用物理学会
Aug 12, 14 · 円形無気肺 (round atelectasis) 肺が限局的に虚脱し、肥厚した臓側胸膜が肺側に折れ込んだもの。 胸水貯留によるものや胸膜の病変に関連することが多く、虚脱が残ってしまうもの。 原因は、結核性胸膜炎、アスベストーシス、石綿胸水、その他の非特異的胸膜炎などの胸膜病変後。 心不全や尿毒症による胸水貯留、胸部外傷でも起こることがある。 男性に多い傾向円形脱毛症とは? 円形脱毛症は、髪の毛を作るもとになる毛包のうち「毛根」と呼ばれる部分が炎症により破壊されることにより生じます。 硬貨のような円形の脱毛斑ができるのが特徴ですが、重症の場合は脱毛斑がどんどん大きく広がっていったり、脱毛斑の数が増えてしまうこともあります。 重症の場合には体毛も含めて全身の毛が失われることもありますDec 06, 17 · 無気肺について 肺の一部が、空気を含まずにしぼんでしまった状態 肺が正しく働くためには、肺の中の 肺胞 が空気で満たされ、膨らんだ状態を保っている必要がある 喉と肺胞をつなぐ空気の通り道(気道)が何らかの理由で詰まってしまうと、肺胞内へ新しい空気が送り込まれずに肺がしぼんでしまう 無気肺の主な原因 痰(頻度として 肺炎 によるものが多い
Jun 10, 19 · 私は看護学生です。 術後合併症には、「無気肺」と「肺炎」があるということを学びました。しかし、術後になぜ「無気肺」と「肺炎」が起こってしまうのか分かりません。May 31, 21 · 円形の劇場を取り囲むように設置されたドアの「のぞき穴」から内部を鑑賞する異色の舞台「Peeping Garden(ピーピング・ガーデン)」が30日、秋田烏嶽円形分水 緒方町小原地区に烏嶽円形分水がある。長谷緒井路本線の水を小原方面と上 緒方方面に分水するため、水路の水はサイフォンの原理を利用して、円形分水 の手前から潜り中央から吹き上が
Jun 19, 17 · 胸部レントゲンの異常陰影、まさか肺癌ではないですよね? 17年6月19日 東京ベイ・浦安市川医療センター 放射線科, 東京ベイweb通信, 総合内科 突然ですが、検診で受けたレントゲン異常があると言われたらどうしますか? 多くの人がピンとこないと無気肺の一般的な原因は気管支の閉塞です。 酸素レベルが低くなる、または肺炎が起こると、息切れが生じます。 診断を確定するには胸部X線検査を使います。 治療では、深い呼吸を確実にできるようにすること、気道の障害物を取り除くこと、またはApr 23, 19 · 胸部CTで偶然見つけた肺結節をフォローする基準 日常的に画像診断をしていると、肺結節を偶然見つけることはよくあります。 がん患者さんであれば肺転移をまずは考えますが、偶然見つけた場合、質的診断に悩み、最終的にレポート上で経過観察を




肺の良性腫瘍 電子コンテンツ 日本医事新報社




特別webコラム 新型コロナウィルス禍に学ぶ応用物理 X線ctとai画像診断1 新型コロナウイルス感染症とct検査の果たす役割 木暮陽介 順天堂大学医学部附属順天堂医院 応用物理学会
ICD10 第10章 J00J99 呼吸器系の疾患 J00J06 急性上気道感染症 J00 急性鼻咽頭炎かぜ<感冒> J01 急性副鼻腔炎 J010 急性上顎洞炎 J011 急性前頭洞炎 J012 急性篩骨洞<蜂巣>炎 J013 急性蝶ドラマなどでは、医者が「白い影」といったらそれはもう肺がんと相場が決まっているが、現実は必ずしもそうではないようだ。 そしてもう1つは、タバコのヤバさ。 というのも、 先生が「CTを受けてみよっか」となったのは、私がタバコを吸っているApr 12, 16 · アスペルギルスに対するアレルギー反応が原因で起こる病態には、気管支喘息や過敏性肺炎(※頻度は稀です)など複数の種類があります。 このうち、最も多いのは肺に起こる「 アレルギー性気管支肺アスペルギルス症 」という病態です。




コロナウイルス感染対策 マスク2色円形アイコン 白背景のイラスト素材




胸部領域
肺炎クラミジア Chlamydia psittaci オーム病クラミジア chronic obstructive pulmonary disease (COPD) 慢性閉塞性肺疾患 chyle 乳び(糜) cilium 綿毛 clubbed finger バチ状指 coarse crackles 水泡音、粗い断続性ラ音 coccus 球菌 coin lesion 円形陰影 common cold 感冒、風邪Sep 25, 19 · 「自己免疫疾患」とは、過度のストレスなど何らかの要因で、自分自身の組織や細胞を敵と勘違いし、攻撃してしまう状態のことをいいます。この自己免疫疾患が抜け毛の原因となることもあります。そこで、今回は、「自己免疫疾患」と抜け毛の関係性についてご説明します。肺がんと肺炎の画像には、多くの違いがみられます。 肺がんの胸部X線画像には、円形や楕円形をしたがんの塊が白く映り(腫瘤影)、CTではリンパ節の腫れや、がん周辺の血管や臓器の様子も映ります。 肺炎のX線画像には、正常であれば黒く映る肺に境界がはっきりしない白い影が映ります。 白い影は、肺炎の種類によってすりガラス状にみえたり、斑状やあみ状




呼吸器感染症 Ct画像をどう読むか 名古屋セントラル病院




症例021 二次肺結核症 胸部単純x線写真 X線写真 症例 アトラス
Yahoo!不動産 不動産・住宅探しをYahoo!不動産(ヤフー不動産)がお手伝いします。 新築・中古マンションや一戸建て、土地などの購入から賃貸物件、注文住宅まで、全国の不動産情報が満載です。 都道府県から市区町村、沿線、駅、こだわりの条件から円形陰影 4cm未満の丸い陰影。肺結核、肺腫瘍などの場合に見られます。 横隔膜高位・挙上 胸部と腹部を隔てる横隔膜が通常よりも高い位置にあります。 生まれつき、結腸ガスの増加、肝臓腫瘍などの場合に起こります。 間質性肺炎症例011:別症例/円形肺炎 ct 3 肺感染症 症例011:別症例/円形肺炎 CT,『コンパクトX線アトラスBasic 胸部単純X線写真アトラス vol1 肺』



X線診断の基礎知識 レントゲン写真の読み方 簡単解説




胸部単純x線撮影検査とは 病気の検査法を調べる 医療総合qlife
>診断 : 円形無気肺( round atelectasis ) >解説 : 下肺野背側に好発する無気肺の一種で、腫瘍との鑑別が問題となる。腫瘤陰影に巻き込まれる様に血管あるいは気管支がみられれば診断可能。球状肺炎は,胸部Xpで辺縁が明瞭な円形または楕 円形の腫瘤陰影を生じる肺炎であり,一般的に8歳未 満の小児にみられ,多くは単発性である.その画像所 見から腫瘍性病変などとの鑑別疾患として重皮膚科をご希望の方へ 公式チャンネルのご案内はこちら やまぐち呼吸器内科・皮膚科クリニックの皮膚科では、以下のような症状でお困りの方、不安に感じられている方の診療をしています。 ※皮膚科は、年齢に関わらず小児から高齢者まで、来院いただけます。



X線診断の基礎知識 レントゲン写真の読み方 簡単解説



X線診断の基礎知識 レントゲン写真の読み方 簡単解説
した.肺炎の診断で抗菌薬加療を行われたが解熱得られ ず,1月中旬に当院へ紹介となった.胸部単純ctにて 右下葉の濃厚浸潤影と胸水貯留が認められた.抗菌薬変 更後も改善乏しく,tblbを施行し,器質化肺炎①円形 陰影:その名の通り、円形(または楕円形)を呈する陰影のことで す。 実は、円形陰影とはあくまで総称で、その大きさにより名称がそれぞれ 分けられています。 一方、小さくて丸い粒状影が多数認められた時にも、各種の肺炎や結核 (特にApr 25, 17 · 円形無気肺 肺の周囲を覆っている胸膜の炎症や腫瘍により、肺実質の伸展が不良になった状態です。 典型的には胸水の消退時に見られることが多いです。




胸部単純x線撮影検査とは コトバンク




その他の部位 いたばしクリニック
円形無気肺 Rounded atelectasis(RA)() 円形無気肺 Rounded atelectasis(RA)() 右中葉の肺炎後に円形無気肺を 生じた患者を診たので勉強しなおしてみた。ちなみに、この患 者は風邪の経過中に 胸痛を認めたためエックス線写真を撮影した。沈降価肺炎球菌結合型ワクチン (pf) 小児における肺炎球菌による侵襲性感染症の予防 ★ 沈降価肺炎球菌結合型ワクチン (pf) 高齢者における肺炎球菌による感染症の予防 ★ 不活化ダニ媒介脳炎ウイルス (pf)医学書の出版社メディフレックスの書籍「コンパクトX線シリーズBasic 胸部単純X線アトラス vol1 肺」の症例ギャラリー,トップページです.書籍に収載されている症例等の画像を,可能な限りギャラリー形式でお届けします.




コロナウイルス感染対策 マスクをした男性2色円形アイコン 白背景のイラスト素材



新型コロナウイルス感染症における胸部ct像の特徴
まとめ 円形脱毛症は自己免疫疾患やアトピー性皮膚炎などによって起きる症状です。 放置していても自然に治る可能性は低い為、専門医の受診をおすすめ致します。 円形脱毛症には単発型、多発型、全頭型、汎発型といった種類があります。 特に多発型や全頭型、汎発型になると完治するまで数年かかる事もあるのです。 円形脱毛症の症状があまりにもひどいガラス状陰影は円形,半円形,不整形 とさまざまな形態を取りうるが,多くは 次の3つのパターンに分類される。①胸 膜直下において,胸膜側に向かって半 円形の形態(お椀を伏せたような形)を 取るパターン,②胸膜に接しない場所にる円形ないし類円形の結節・腫瘤影を認める(Fig 1). 空洞の大部分を菌球が占拠した場合,空洞と菌球との隙 間は三日月状の透亮像として認められ,meniscus sign (air crescent sign)とよばれる.この所見は本症に特異




呼吸器感染症 Ct画像をどう読むか 名古屋セントラル病院




胸部レントゲン検査のご案内 医療法人 植谷医院からのお知らせ




都市封鎖 パンデミック イメージ円形バナーイラスト 新型コロナウイルス Covid 19 のイラスト素材



Kansen Journal




呼吸器感染症 Ct画像をどう読むか 名古屋セントラル病院




圧倒的画像数で診る 胸部疾患画像アトラス 典型例から応用例まで 00画像で極める読影力 羊土社




日々の症例 160 円形無気肺




解答 解説 抗菌薬無効の陰影を呈した70歳代女性 実践 画像診断q A 羊土社 レジデントノート 実践 画像診断q A 羊土社 レジデントノート 羊土社




都市封鎖 パンデミック イメージ円形バナーイラスト 新型コロナウイルス Covid 19 のイラスト素材




解答 解説 抗菌薬無効の陰影を呈した70歳代女性 実践 画像診断q A 羊土社 レジデントノート 実践 画像診断q A 羊土社 レジデントノート 羊土社




肺がん プラーナクリニック 内科 呼吸器 循環器 糖尿病 睡眠時無呼吸症候群 深谷市



家畜衛生研修会 16年 牛の肺における Em Mycoplasma Bovis Em による多発性凝固壊死を伴う化膿性気管支肺炎




症例011 別症例 円形肺炎 Ct 症例 アトラス X線写真




呼吸器感染症 Ct画像をどう読むか 名古屋セントラル病院




好酸球性肺炎 電子コンテンツ 日本医事新報社




新型コロナウイルス感染症肺炎 Covid 19有識者会議




新型コロナウイルス感染症肺炎 Covid 19有識者会議




新型コロナウイルス感染症肺炎 Covid 19有識者会議




Tmprss2発現細胞を使うと新型コロナウイルス Sars Cov 2が効率良く分離できる




その他の部位 いたばしクリニック




今月の主題 症例からみる肺疾患のct画像 Medicina44 2



公益社団法人日本医学放射線学会 新型コロナウイルス感染症 Covid 19 に対する胸部ct検査の指針 Ver 1 0




呼吸器感染症 Ct画像をどう読むか 名古屋セントラル病院




解答 解説 抗菌薬無効の陰影を呈した70歳代女性 実践 画像診断q A 羊土社 レジデントノート 実践 画像診断q A 羊土社 レジデントノート 羊土社




新型コロナウイルス感染症肺炎 Covid 19有識者会議




呼吸器感染症 Ct画像をどう読むか 名古屋セントラル病院




肺がんct健診 アスベスト健診 庄司クリニック 新型コロナpcr検査 金沢区 金沢文庫 すぐ出来る胸部ct 胃カメラ 大腸カメラ 新型コロナ Pcr検査 肺癌 胃がん 大腸癌 健診 胸部異常影 夜間診療 睡眠時無呼吸症候群




Covid 19の すりガラス陰影 の見分け方 日経メディカル




圧倒的画像数で診る 胸部疾患画像アトラス 典型例から応用例まで 00画像で極める読影力 羊土社




胸部x線検査 呼吸器の検査 各検査を知る 人間ドック 健診会 東京メディカルクリニック



新型コロナ肺炎のレントゲン像 身体の不調でおこまりなら大垣の大橋医院



新型コロナウイルス感染症における胸部ct像の特徴




健診時 胸部に異常がみられた方へ 健康サポートについて 医療法人社団慶友会 吉田病院 健康サポート室




写真 赤いサークル 新型肺炎感染防止への秘策 中国新聞デジタル




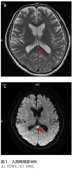
解答 解説 レジオネラ肺炎に伴う一過性の脳病変 実践 画像診断q A 羊土社 レジデントノート 羊土社




多発性球状肺炎の13歳男児例




呼吸器系 東京都千代田区神田神保町 こころとからだの元氣プラザ




新型コロナウイルス感染症肺炎 Covid 19有識者会議



X線診断の基礎知識 レントゲン写真の読み方 簡単解説




肺がんct健診 アスベスト健診 庄司クリニック 新型コロナpcr検査 金沢区 金沢文庫 すぐ出来る胸部ct 胃カメラ 大腸カメラ 新型コロナ Pcr検査 肺癌 胃がん 大腸癌 健診 胸部異常影 夜間診療 睡眠時無呼吸症候群



新型コロナウイルス感染症における胸部ct像の特徴




特別webコラム 新型コロナウィルス禍に学ぶ応用物理 X線ctとai画像診断1 新型コロナウイルス感染症とct検査の果たす役割 木暮陽介 順天堂大学医学部附属順天堂医院 応用物理学会



指導医ブログ Stay Hungry Stay Foolish 放射線科dr 臨床研修
コメント
コメントを投稿